
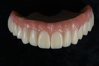
Шта су фелдспатски фурнири?
Фелдспатхиц фасете, направљене од минералног фелдспата, популаран су избор у традиционалној стоматолошкој технологији. Овај материјал се меље у фини прах и прави у стаклену керамику од стране вештих кинеских стоматолошких керамичара. Користећи танке слојеве фелдспат смоле, сваки фурнир је ручно израђен од стране сертификованог зубног техничара, печен је до савршенства и обликован да би се постигао прозиран и природан изглед. Ове фасете су заштитни знак висококвалитетних стоматолошких лабораторија, посебно оних у кинеској АДС зуботехничкој лабораторији.
Фелдспатхиц фасете су врхунски избор за побољшање изгледа зуба. Произведени у сертификованим денталним лабораторијама Схензхен АДС, ове фасете нуде бројне предности:

01
Природни изглед
Фелдспатхиц фасете су направљене по мери да се неприметно стапају са вашим природним зубима, обезбеђујући реалистичан осмех. Њихова прозирност опонаша изглед природне емајла, што их чини готово неприметним.
02
Минимална припрема зуба
За разлику од Е-мак фасета, фелдспатхиц фасете захтевају мало или нимало уклањања глеђи, чувајући природну структуру зуба. Неприпремљене зубне фасете су кључна карактеристика коју нуди наша кинеска зубна лабораторија.
03
Трајност
Иако су танки (само 0.3 мм), фелдспатхиц фасете могу трајати до 10 година или више када су правилно спојене.
04
Исплативост
АДС Дентал Лаборатори у Кини осигурава да су фелдспатхиц фасете доступне по разумним ценама, чинећи врхунска стоматолошка решења доступна свима.
За кога су погодни фелдспатски фурнири?

Пацијенти којима су потребне фасете које нису припремљене.
Зуби са већином нетакнуте глеђи.
Мањи недостаци као што су неуједначени размаци, промена боје или благи деформитети.
Појединци са високим естетским захтевима.
Зашто изабрати нас?
Тражимо кооперативног партнера за проширење нашег пословања.
Глобална логистичка решења
Наша партнерства са ФедЕк-ом, УПС-ом, ДХЛ-ом и ЛИНЕКС-ом омогућавају брзу и безбедну испоруку широм света.
Експертиза стоматолошке лабораторије у Шенжену
Ми смо врхунска зуботехничка лабораторија у Кини са преко 400 сертификованих зубних техничара специјализованих за фасете и друга врхунска стоматолошка решења. Наш тим има вишедеценијско искуство у традиционалним и напредним стоматолошким технологијама.
Наменска корисничка подршка
Преко 40 обучених представника пружа беспрекорну комуникацију и 363-дневну онлајн подршку.
Фаст Турнароунд Тимес
Једноставан случај, укључујући логистику, може се завршити за само 7 дана.
Свеобухватна гаранција
Све наше фелдспатхиц фасете долазе са дуготрајном гаранцијом, што одражава нашу посвећеност висококвалитетним стандардима денталне лабораторије у Кини.
Сертификовани стоматолошки производи
Наши фурнири испуњавају међународне сертификате као што су ЦЕ, ФДА и ИСО, обезбеђујући сигурност, поузданост и врхунске перформансе
Често постављана питања
У нашој кинеској АДС стоматолошкој лабораторији комбинујемо модерно умеће са традиционалном стоматолошком технологијом да бисмо обезбедили висококвалитетна решења за стоматолошке лабораторије. Контактирајте нас данас за услуге зуботехничке лабораторије по повољним ценама и доживите изврсност главне зуботехничке лабораторије у Шенжену.
Која је разлика између Е-мак фасета и Фелдспатхиц фасета?
+
-
Е-Мак фурнири, направљени од литијум дисиликата, познати су по својој чврстоћи и издржљивости. Међутим, фелдспатхиц фасете, израђене у зубним лабораторијама у Шенжену, омогућавају веће прилагођавање облика и боје. Често се преферирају за постизање природног, персонализованог изгледа.
Колико су танки фелдспатски фурнири?
+
-
Фелдспатске фасете могу бити танке до 0,3 мм, што захтева минималну припрему зуба.
Урадиес фелдспатхицфасете захтевају припрему зуба?
+
-
Врло танке фелдспатхиц фасете се могу направити уз малу припрему зуба.
Да ли изгледају као природни зуби?
+
-
Да, фелдспатхиц фасете су пажљиво дизајниране да реплицирају боју, величину и облик ваших природних зуба, стварајући беспрекоран и органски осмех.
Колико дуго трају?
+
-
Уз одговарајућу негу, фелдспатхиц фасете могу трајати деценијама. Редовно четкање, чишћење концем и избегавање тврде хране обезбедиће им дуговечност.
Popularne oznake: фелдспатхиц фурнири, Кина фелдспатхиц фурнири произвођачи, добављачи, фабрика
